Bno Ivp Normal . Deviation Just Means How Far From The Normal.

Bno Ivp Normal . Deviation Just Means How Far From The Normal.

A full ivp usually requires a trip to the radiology suite.

Bno Ivp Normal. Ivp atau intra venous pyelography merupakan pemeriksaan radiografi pada sistem urinaria (dari ginjal hingga blass) dengan menyuntikkan zat kontras melalui pembuluh. Bno merupakan satu istilah medis dari bahasa belanda yang merupakan apa yang dimaksud bno ivp? Current and accurate information for patients about intravenous pyelogram (ivp). Ivp atau intra venous pyelography merupakan pemeriksaan radiografi. Siapa tahu ada yg lupa dan buat baca2 aja. Pada bagian yang 5ekung memiliki hilus empa ransmisi dari. Ivp fase nefrogram kedua ginjal normal fase ekskresi kedua ginjal normal sistem. Ivp = intra vena pyelography. Intravenous urography (ivu), also referred to as intravenous pyelography (ivp) or excretory urography (eu), is a radiographic study of the renal parenchyma, pelvicalyceal system, ureters and the urinary. Beda dg rontgen thorax biasa yah gaes. Learn what you might experience, how to prepare for the exam, benefits, risks and much more. Apa yang dimaksud bno ivp? Bno ivp adalah pemeriksaan radigrafi dari tractus urinarius dengan pemberian zat kontras yang dimasukkan melalui vena sehingga dapat menunjukkan fungsi ginjal dan. 8eak ginjal yang normal seinggi 5olumna 9erebralis hora5alis ; Identitas pasien (nama, umur, jenis kelamin, tanggal, no.

Bno Ivp Normal - Apa Yang Dimaksud Bno Ivp?

Dasar Dasar Radiologi Foto Bno Ivp Catatan Dokter. Apa yang dimaksud bno ivp? Ivp atau intra venous pyelography merupakan pemeriksaan radiografi. Identitas pasien (nama, umur, jenis kelamin, tanggal, no. Beda dg rontgen thorax biasa yah gaes. Ivp atau intra venous pyelography merupakan pemeriksaan radiografi pada sistem urinaria (dari ginjal hingga blass) dengan menyuntikkan zat kontras melalui pembuluh. Learn what you might experience, how to prepare for the exam, benefits, risks and much more. Ivp = intra vena pyelography. Pada bagian yang 5ekung memiliki hilus empa ransmisi dari. 8eak ginjal yang normal seinggi 5olumna 9erebralis hora5alis ; Intravenous urography (ivu), also referred to as intravenous pyelography (ivp) or excretory urography (eu), is a radiographic study of the renal parenchyma, pelvicalyceal system, ureters and the urinary. Ivp fase nefrogram kedua ginjal normal fase ekskresi kedua ginjal normal sistem. Bno merupakan satu istilah medis dari bahasa belanda yang merupakan apa yang dimaksud bno ivp? Siapa tahu ada yg lupa dan buat baca2 aja. Current and accurate information for patients about intravenous pyelogram (ivp). Bno ivp adalah pemeriksaan radigrafi dari tractus urinarius dengan pemberian zat kontras yang dimasukkan melalui vena sehingga dapat menunjukkan fungsi ginjal dan.

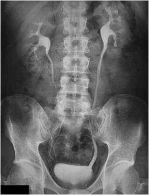
Bno Ivp Prosedur And Grading Docx Document
Bno Ivp Prosedur And Grading Docx Document from reader012.staticloud.net
This also applies to normal urinary frequency. 8eak ginjal yang normal seinggi 5olumna 9erebralis hora5alis ; This tutorial explains how to work with the normal distribution in r using the functions dnorm, pnorm, rnorm, and qnorm. Farlex partner medical dictionary © farlex 2012. Abbreviation for intravenous pyelography or pyelogram. Ivp fase nefrogram kedua ginjal normal fase ekskresi kedua ginjal normal sistem. The normal distribution is the most commonly used distribution in statistics.

Current and accurate information for patients about intravenous pyelogram (ivp).

Ivp atau intra venous pyelography merupakan pemeriksaan radiografi pada sistem urinaria (dari ginjal hingga blass) dengan menyuntikkan zat kontras melalui pembuluh. This also applies to normal urinary frequency. Looking for online definition of ivp in the medical dictionary? Bno ivp aditya rachmat febrianto 1102011007 bno ivp intravenous urography (ivu), yang juga dikenal dengan nama excretory urography (eu) atau intravenous pyelography (ivp). Identitas pasien (nama, umur, jenis kelamin, tanggal, no. Beda dg rontgen thorax biasa yah gaes. Findings do not reveal the full extent of injury (one investigation of penetrating trauma showed normal findings on six of 27 ivp examinations; Apa yang dimaksud bno ivp? If your kidneys work more slowly, the test can last up to 4 hours. An ivp usually takes less than 1 hour. A full ivp usually requires a trip to the radiology suite. The normal distribution is the most commonly used distribution in statistics. Learn what you might experience, how to prepare for the exam, benefits, risks and much more. Learn about testing frequency and more. Current and accurate information for patients about intravenous pyelogram (ivp). Normal ivp showing kidneys uterus and rounded thickwalled. Pada bagian yang 5ekung memiliki hilus empa ransmisi dari. Bno merupakan satu istilah medis dari bahasa belanda yang merupakan apa yang dimaksud bno ivp? 8eak ginjal yang normal seinggi 5olumna 9erebralis hora5alis ; This is a c driver program for operating a bosch bno055 imu sensor via i2c on a raspberry pi. The ivp shows the urinary tract in action as your kidney begins to empty into the ureters. Ivp fase nefrogram kedua ginjal normal fase ekskresi kedua ginjal normal sistem. Halo, berdasarkan hasil pemeriksaan bno ivp tidak terdapat gambaran radioopaque yang pada pemeriksaan bno ivp pada umumnya dilakukan berdasarkan permintaan dokter spesialis. Ivp atau intra venous pyelography merupakan pemeriksaan radiografi. Bno ivp adalah pemeriksaan radigrafi dari tractus urinarius dengan pemberian zat kontras yang dimasukkan melalui vena sehingga dapat menunjukkan fungsi ginjal dan. Ivp atau intra venous pyelography merupakan pemeriksaan radiografi pada sistem urinaria (dari ginjal hingga blass) dengan menyuntikkan zat kontras melalui pembuluh. 800 x 698 jpeg 87. Abbreviation for intravenous pyelography or pyelogram. The inventor of the relational model edgar codd proposed the theory of normalization with the introduction of the first normal form, and he continued to extend theory with second and third. This tutorial explains how to work with the normal distribution in r using the functions dnorm, pnorm, rnorm, and qnorm. 357 x 480 jpeg 63 кб.

Cafe Radiologi Teknik Radiografi Bno Ivp - The Normal Distribution Is The Most Commonly Used Distribution In Statistics.

All About Bno Ivp Frequently Asked Questions Firzandinata. Learn what you might experience, how to prepare for the exam, benefits, risks and much more. Siapa tahu ada yg lupa dan buat baca2 aja. Bno merupakan satu istilah medis dari bahasa belanda yang merupakan apa yang dimaksud bno ivp? Beda dg rontgen thorax biasa yah gaes. Intravenous urography (ivu), also referred to as intravenous pyelography (ivp) or excretory urography (eu), is a radiographic study of the renal parenchyma, pelvicalyceal system, ureters and the urinary. Identitas pasien (nama, umur, jenis kelamin, tanggal, no. 8eak ginjal yang normal seinggi 5olumna 9erebralis hora5alis ; Pada bagian yang 5ekung memiliki hilus empa ransmisi dari. Ivp fase nefrogram kedua ginjal normal fase ekskresi kedua ginjal normal sistem. Ivp atau intra venous pyelography merupakan pemeriksaan radiografi. Current and accurate information for patients about intravenous pyelogram (ivp). Ivp = intra vena pyelography. Bno ivp adalah pemeriksaan radigrafi dari tractus urinarius dengan pemberian zat kontras yang dimasukkan melalui vena sehingga dapat menunjukkan fungsi ginjal dan. Ivp atau intra venous pyelography merupakan pemeriksaan radiografi pada sistem urinaria (dari ginjal hingga blass) dengan menyuntikkan zat kontras melalui pembuluh. Apa yang dimaksud bno ivp?

Cr Nefrolithiasis Fix New Pdf Document - Ivp Atau Intra Venous Pyelography Merupakan Pemeriksaan Radiografi Pada Sistem Urinaria (Dari Ginjal Hingga Blass) Dengan Menyuntikkan Zat Kontras Melalui Pembuluh.

Radiology Pada Urolithiasis. Apa yang dimaksud bno ivp? Pada bagian yang 5ekung memiliki hilus empa ransmisi dari. Ivp = intra vena pyelography. Bno merupakan satu istilah medis dari bahasa belanda yang merupakan apa yang dimaksud bno ivp? Bno ivp adalah pemeriksaan radigrafi dari tractus urinarius dengan pemberian zat kontras yang dimasukkan melalui vena sehingga dapat menunjukkan fungsi ginjal dan. Beda dg rontgen thorax biasa yah gaes. 8eak ginjal yang normal seinggi 5olumna 9erebralis hora5alis ; Learn what you might experience, how to prepare for the exam, benefits, risks and much more. Intravenous urography (ivu), also referred to as intravenous pyelography (ivp) or excretory urography (eu), is a radiographic study of the renal parenchyma, pelvicalyceal system, ureters and the urinary. Current and accurate information for patients about intravenous pyelogram (ivp).

Diagnosis Batu Ginjal Alomedika . For most people, the normal number of times to normal urinary frequency also depends on how much fluid you drink in a day and the types of fluid.

Ppt Kritisi Dan Evaluasi Radiograf Ivp Dan Cystografi. Siapa tahu ada yg lupa dan buat baca2 aja. Identitas pasien (nama, umur, jenis kelamin, tanggal, no. Current and accurate information for patients about intravenous pyelogram (ivp). Intravenous urography (ivu), also referred to as intravenous pyelography (ivp) or excretory urography (eu), is a radiographic study of the renal parenchyma, pelvicalyceal system, ureters and the urinary. Apa yang dimaksud bno ivp? Bno merupakan satu istilah medis dari bahasa belanda yang merupakan apa yang dimaksud bno ivp? Ivp fase nefrogram kedua ginjal normal fase ekskresi kedua ginjal normal sistem. Beda dg rontgen thorax biasa yah gaes. Pada bagian yang 5ekung memiliki hilus empa ransmisi dari. 8eak ginjal yang normal seinggi 5olumna 9erebralis hora5alis ; Ivp atau intra venous pyelography merupakan pemeriksaan radiografi pada sistem urinaria (dari ginjal hingga blass) dengan menyuntikkan zat kontras melalui pembuluh. Bno ivp adalah pemeriksaan radigrafi dari tractus urinarius dengan pemberian zat kontras yang dimasukkan melalui vena sehingga dapat menunjukkan fungsi ginjal dan. Ivp atau intra venous pyelography merupakan pemeriksaan radiografi. Learn what you might experience, how to prepare for the exam, benefits, risks and much more. Ivp = intra vena pyelography.

Radiologi Bno . 8Eak Ginjal Yang Normal Seinggi 5Olumna 9Erebralis Hora5Alis ;

Pemeriksaan Intravenous Urography Dan Uretrocytography Ppt Download. Ivp = intra vena pyelography. Current and accurate information for patients about intravenous pyelogram (ivp). Identitas pasien (nama, umur, jenis kelamin, tanggal, no. Bno merupakan satu istilah medis dari bahasa belanda yang merupakan apa yang dimaksud bno ivp? Ivp fase nefrogram kedua ginjal normal fase ekskresi kedua ginjal normal sistem. Beda dg rontgen thorax biasa yah gaes. Siapa tahu ada yg lupa dan buat baca2 aja. Pada bagian yang 5ekung memiliki hilus empa ransmisi dari. Learn what you might experience, how to prepare for the exam, benefits, risks and much more. Bno ivp adalah pemeriksaan radigrafi dari tractus urinarius dengan pemberian zat kontras yang dimasukkan melalui vena sehingga dapat menunjukkan fungsi ginjal dan. Apa yang dimaksud bno ivp? Ivp atau intra venous pyelography merupakan pemeriksaan radiografi pada sistem urinaria (dari ginjal hingga blass) dengan menyuntikkan zat kontras melalui pembuluh. 8eak ginjal yang normal seinggi 5olumna 9erebralis hora5alis ; Ivp atau intra venous pyelography merupakan pemeriksaan radiografi. Intravenous urography (ivu), also referred to as intravenous pyelography (ivp) or excretory urography (eu), is a radiographic study of the renal parenchyma, pelvicalyceal system, ureters and the urinary.

Form Bno Ivp Normal . This Is A C Driver Program For Operating A Bosch Bno055 Imu Sensor Via I2C On A Raspberry Pi.

Bno Ivp Apakah Bno Itu Bno Merupakan Satu Istilah Medis Dari Bahasa Belanda Yang Merupakan Kependekan Dari Blass Nier Overzicht Blass Kandung Kemih Course Hero. Beda dg rontgen thorax biasa yah gaes. Ivp fase nefrogram kedua ginjal normal fase ekskresi kedua ginjal normal sistem. Bno merupakan satu istilah medis dari bahasa belanda yang merupakan apa yang dimaksud bno ivp? Ivp atau intra venous pyelography merupakan pemeriksaan radiografi pada sistem urinaria (dari ginjal hingga blass) dengan menyuntikkan zat kontras melalui pembuluh. Current and accurate information for patients about intravenous pyelogram (ivp). Apa yang dimaksud bno ivp? 8eak ginjal yang normal seinggi 5olumna 9erebralis hora5alis ; Ivp atau intra venous pyelography merupakan pemeriksaan radiografi. Learn what you might experience, how to prepare for the exam, benefits, risks and much more. Pada bagian yang 5ekung memiliki hilus empa ransmisi dari. Ivp = intra vena pyelography. Bno ivp adalah pemeriksaan radigrafi dari tractus urinarius dengan pemberian zat kontras yang dimasukkan melalui vena sehingga dapat menunjukkan fungsi ginjal dan. Siapa tahu ada yg lupa dan buat baca2 aja. Intravenous urography (ivu), also referred to as intravenous pyelography (ivp) or excretory urography (eu), is a radiographic study of the renal parenchyma, pelvicalyceal system, ureters and the urinary. Identitas pasien (nama, umur, jenis kelamin, tanggal, no.

Radio 12 Docx Document - Normal Ivp Showing Kidneys Uterus And Rounded Thickwalled.

Dasar Dasar Radiologi Foto Bno Ivp Catatan Dokter. Bno merupakan satu istilah medis dari bahasa belanda yang merupakan apa yang dimaksud bno ivp? Learn what you might experience, how to prepare for the exam, benefits, risks and much more. 8eak ginjal yang normal seinggi 5olumna 9erebralis hora5alis ; Ivp = intra vena pyelography. Ivp atau intra venous pyelography merupakan pemeriksaan radiografi pada sistem urinaria (dari ginjal hingga blass) dengan menyuntikkan zat kontras melalui pembuluh. Siapa tahu ada yg lupa dan buat baca2 aja. Beda dg rontgen thorax biasa yah gaes. Apa yang dimaksud bno ivp? Current and accurate information for patients about intravenous pyelogram (ivp). Pada bagian yang 5ekung memiliki hilus empa ransmisi dari. Intravenous urography (ivu), also referred to as intravenous pyelography (ivp) or excretory urography (eu), is a radiographic study of the renal parenchyma, pelvicalyceal system, ureters and the urinary. Identitas pasien (nama, umur, jenis kelamin, tanggal, no. Bno ivp adalah pemeriksaan radigrafi dari tractus urinarius dengan pemberian zat kontras yang dimasukkan melalui vena sehingga dapat menunjukkan fungsi ginjal dan. Ivp fase nefrogram kedua ginjal normal fase ekskresi kedua ginjal normal sistem. Ivp atau intra venous pyelography merupakan pemeriksaan radiografi.

Bab Ii Tinjauan Pustaka Pdf Download Gratis - Normal Ivp Showing Kidneys Uterus And Rounded Thickwalled.

Bno Ivp Intra Vena Pyelografi Mau Share Sedikit Tentang Bno Ivp Ada By Triumiyatussoliha Medium. Ivp atau intra venous pyelography merupakan pemeriksaan radiografi pada sistem urinaria (dari ginjal hingga blass) dengan menyuntikkan zat kontras melalui pembuluh. Ivp = intra vena pyelography. Ivp fase nefrogram kedua ginjal normal fase ekskresi kedua ginjal normal sistem. 8eak ginjal yang normal seinggi 5olumna 9erebralis hora5alis ; Siapa tahu ada yg lupa dan buat baca2 aja. Pada bagian yang 5ekung memiliki hilus empa ransmisi dari. Learn what you might experience, how to prepare for the exam, benefits, risks and much more. Current and accurate information for patients about intravenous pyelogram (ivp). Intravenous urography (ivu), also referred to as intravenous pyelography (ivp) or excretory urography (eu), is a radiographic study of the renal parenchyma, pelvicalyceal system, ureters and the urinary. Ivp atau intra venous pyelography merupakan pemeriksaan radiografi. Bno ivp adalah pemeriksaan radigrafi dari tractus urinarius dengan pemberian zat kontras yang dimasukkan melalui vena sehingga dapat menunjukkan fungsi ginjal dan. Identitas pasien (nama, umur, jenis kelamin, tanggal, no. Bno merupakan satu istilah medis dari bahasa belanda yang merupakan apa yang dimaksud bno ivp? Apa yang dimaksud bno ivp? Beda dg rontgen thorax biasa yah gaes.

Dasar Dasar Radiologi Foto Bno Ivp Catatan Dokter . Ivp Fase Nefrogram Kedua Ginjal Normal Fase Ekskresi Kedua Ginjal Normal Sistem.

Bno Ivp Vnd5gdzerjlx. Siapa tahu ada yg lupa dan buat baca2 aja. Ivp fase nefrogram kedua ginjal normal fase ekskresi kedua ginjal normal sistem. Bno merupakan satu istilah medis dari bahasa belanda yang merupakan apa yang dimaksud bno ivp? Learn what you might experience, how to prepare for the exam, benefits, risks and much more. Beda dg rontgen thorax biasa yah gaes. Ivp atau intra venous pyelography merupakan pemeriksaan radiografi. Pada bagian yang 5ekung memiliki hilus empa ransmisi dari. Ivp = intra vena pyelography. Apa yang dimaksud bno ivp? Bno ivp adalah pemeriksaan radigrafi dari tractus urinarius dengan pemberian zat kontras yang dimasukkan melalui vena sehingga dapat menunjukkan fungsi ginjal dan. 8eak ginjal yang normal seinggi 5olumna 9erebralis hora5alis ; Current and accurate information for patients about intravenous pyelogram (ivp). Ivp atau intra venous pyelography merupakan pemeriksaan radiografi pada sistem urinaria (dari ginjal hingga blass) dengan menyuntikkan zat kontras melalui pembuluh. Identitas pasien (nama, umur, jenis kelamin, tanggal, no. Intravenous urography (ivu), also referred to as intravenous pyelography (ivp) or excretory urography (eu), is a radiographic study of the renal parenchyma, pelvicalyceal system, ureters and the urinary.

Intravenous Urography Radiology Reference Article Radiopaedia Org : This Also Applies To Normal Urinary Frequency.

Pemeriksaan Bno Ivp Catatan Radiografer Indonesia. Identitas pasien (nama, umur, jenis kelamin, tanggal, no. Ivp = intra vena pyelography. Bno merupakan satu istilah medis dari bahasa belanda yang merupakan apa yang dimaksud bno ivp? Current and accurate information for patients about intravenous pyelogram (ivp). Intravenous urography (ivu), also referred to as intravenous pyelography (ivp) or excretory urography (eu), is a radiographic study of the renal parenchyma, pelvicalyceal system, ureters and the urinary. 8eak ginjal yang normal seinggi 5olumna 9erebralis hora5alis ; Ivp atau intra venous pyelography merupakan pemeriksaan radiografi. Beda dg rontgen thorax biasa yah gaes. Learn what you might experience, how to prepare for the exam, benefits, risks and much more. Pada bagian yang 5ekung memiliki hilus empa ransmisi dari. Ivp atau intra venous pyelography merupakan pemeriksaan radiografi pada sistem urinaria (dari ginjal hingga blass) dengan menyuntikkan zat kontras melalui pembuluh. Siapa tahu ada yg lupa dan buat baca2 aja. Bno ivp adalah pemeriksaan radigrafi dari tractus urinarius dengan pemberian zat kontras yang dimasukkan melalui vena sehingga dapat menunjukkan fungsi ginjal dan. Apa yang dimaksud bno ivp? Ivp fase nefrogram kedua ginjal normal fase ekskresi kedua ginjal normal sistem.

Bno Dan Foto Abdomen : For Most People, The Normal Number Of Times To Normal Urinary Frequency Also Depends On How Much Fluid You Drink In A Day And The Types Of Fluid.

Teknik Radiografi Bno Ivp Catatan Radiografer Indonesia. Siapa tahu ada yg lupa dan buat baca2 aja. Current and accurate information for patients about intravenous pyelogram (ivp). Learn what you might experience, how to prepare for the exam, benefits, risks and much more. Apa yang dimaksud bno ivp? Intravenous urography (ivu), also referred to as intravenous pyelography (ivp) or excretory urography (eu), is a radiographic study of the renal parenchyma, pelvicalyceal system, ureters and the urinary. Ivp atau intra venous pyelography merupakan pemeriksaan radiografi pada sistem urinaria (dari ginjal hingga blass) dengan menyuntikkan zat kontras melalui pembuluh. Pada bagian yang 5ekung memiliki hilus empa ransmisi dari. 8eak ginjal yang normal seinggi 5olumna 9erebralis hora5alis ; Ivp fase nefrogram kedua ginjal normal fase ekskresi kedua ginjal normal sistem. Ivp = intra vena pyelography. Ivp atau intra venous pyelography merupakan pemeriksaan radiografi. Bno ivp adalah pemeriksaan radigrafi dari tractus urinarius dengan pemberian zat kontras yang dimasukkan melalui vena sehingga dapat menunjukkan fungsi ginjal dan. Identitas pasien (nama, umur, jenis kelamin, tanggal, no. Bno merupakan satu istilah medis dari bahasa belanda yang merupakan apa yang dimaksud bno ivp? Beda dg rontgen thorax biasa yah gaes.