Bno Ivp . Meaning Of Ivp Medical Term.

Bno Ivp . Meaning Of Ivp Medical Term.

Ivp = intra vena pyelography.

Bno Ivp. Mau share sedikit tentang bno ivp. Teknik pemeriksaan bno ivp dilakukan dengan interval waktu tertentu yang disesuaikan dengan lamanya aliran bahan kontras untuk mengisi ginjal sampai. Ada beberapa gejala yang ganggu banget aktifitasku 2 mingguan yg lalu. Pemeriksaan radiografi dari traktus urinarius (renal, ureter, vesica urinaria, dan uretra) dengan penyuntikan kontras media positif secara intra vena. For other news, follow @bnonews. Intravenous pyelogram / ivpdeskripsi lengkap. Ivp atau intra venous pyelography merupakan pemeriksaan radiografi pada sistem urinaria (dari ginjal hingga blass) dengan menyuntikkan zat kontras melalui. Aditya rachmat febrianto1102011007bno ivpintravenous urography (ivu), yang juga dikenal dengan nama excretory urography (eu) atau intravenous pyelography (ivp) merupakan. Последние твиты от bno newsroom (@bnodesk). Siapa tahu ada yg lupa dan buat baca2 aja. Live updates from the team behind bno news. Bagaimana teknik pemeriksaan bno ivp? Apa yang dimaksud bno ivp? Ivp = intra vena pyelography. Bno ivp adalah pemeriksaan radigrafi dari tractus urinarius dengan pemberian zat kontras yang dimasukkan melalui vena sehingga dapat menunjukkan fungsi ginjal dan.

Bno Ivp : Ivp = Intra Vena Pyelography.

Rainbow Teknik Pemeriksaan Bno Ivp Ivu. Последние твиты от bno newsroom (@bnodesk). Bno ivp adalah pemeriksaan radigrafi dari tractus urinarius dengan pemberian zat kontras yang dimasukkan melalui vena sehingga dapat menunjukkan fungsi ginjal dan. Bagaimana teknik pemeriksaan bno ivp? Live updates from the team behind bno news. Ada beberapa gejala yang ganggu banget aktifitasku 2 mingguan yg lalu. Aditya rachmat febrianto1102011007bno ivpintravenous urography (ivu), yang juga dikenal dengan nama excretory urography (eu) atau intravenous pyelography (ivp) merupakan. Mau share sedikit tentang bno ivp. Siapa tahu ada yg lupa dan buat baca2 aja. Apa yang dimaksud bno ivp? Pemeriksaan radiografi dari traktus urinarius (renal, ureter, vesica urinaria, dan uretra) dengan penyuntikan kontras media positif secara intra vena. Intravenous pyelogram / ivpdeskripsi lengkap. Ivp = intra vena pyelography. For other news, follow @bnonews. Ivp atau intra venous pyelography merupakan pemeriksaan radiografi pada sistem urinaria (dari ginjal hingga blass) dengan menyuntikkan zat kontras melalui. Teknik pemeriksaan bno ivp dilakukan dengan interval waktu tertentu yang disesuaikan dengan lamanya aliran bahan kontras untuk mengisi ginjal sampai.

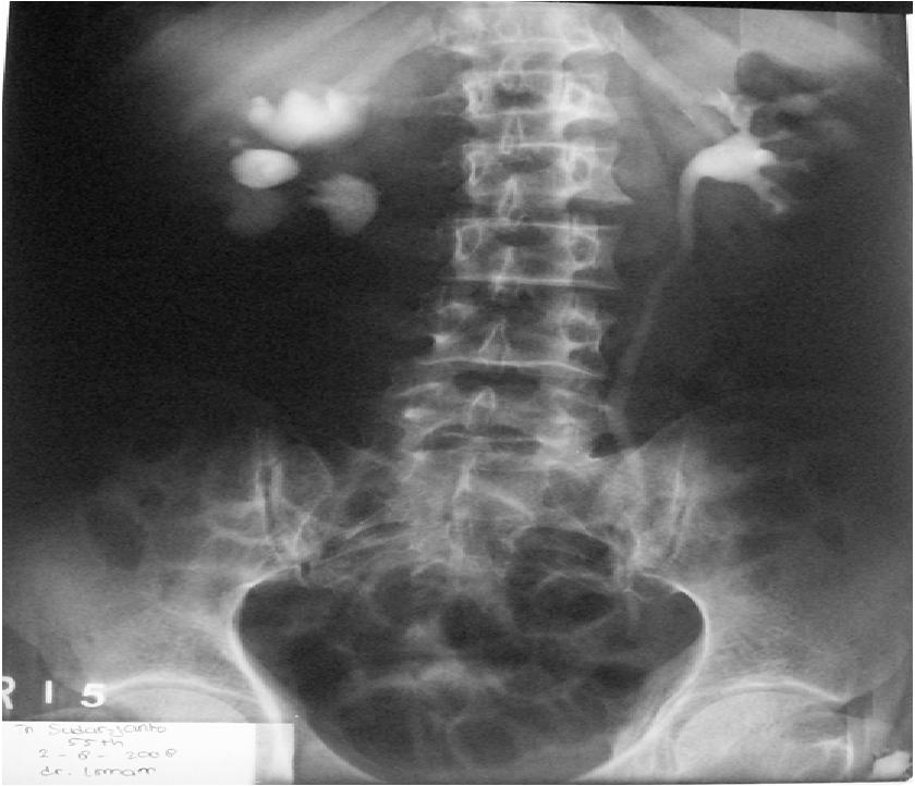
Teknik Radiografi Bno Ivp Catatan Radiografer Indonesia
Teknik Radiografi Bno Ivp Catatan Radiografer Indonesia from radiologitop.files.wordpress.com
Institutional venture partners, a venture capital and growth equity firm. Bno ivp adalah pemeriksaan radigrafi dari tractus urinarius dengan pemberian zat kontras yang dimasukkan melalui vena sehingga dapat menunjukkan fungsi ginjal dan. Live updates from the team behind bno news. Siapa tahu ada yg lupa dan buat baca2 aja. Pemeriksaan ivp membantu dokter mengetahui adanya kelainan pada sistem urinary, dengan melihat kerja ginjal dan sistem urinary pasien. The company was founded by michael van poppel of the netherlands in may 2007. United states brent oil fund, lp (bno:nyse arca).

Intravenous pyelogram / ivpdeskripsi lengkap.

Siapa tahu ada yg lupa dan buat baca2 aja. Looking for the definition of ivp? Ivp = intra vena pyelography. United states brent oil fund, lp (bno:nyse arca). Ada beberapa gejala yang ganggu banget aktifitasku 2 mingguan yg lalu. Mau share sedikit tentang bno ivp. Looking for online definition of ivp in the medical dictionary? Beda dg rontgen thorax biasa yah gaes. Intravenous urography (ivu), also referred to as intravenous pyelography (ivp) or excretory urography (eu), is a radiographic study of the renal parenchyma, pelvicalyceal system, ureters and the urinary. Pemeriksaan ivp membantu dokter mengetahui adanya kelainan pada sistem urinary, dengan melihat kerja ginjal dan sistem urinary pasien. International viewpoint, the monthly magazine of the reunified fourth international. The company was founded by michael van poppel of the netherlands in may 2007. This page is about the various possible meanings of the acronym, abbreviation, shorthand or slang term: The acronym bno stands for breakingnewson. Bno ivp adalah pemeriksaan radigrafi dari tractus urinarius dengan pemberian zat kontras yang dimasukkan melalui vena sehingga dapat menunjukkan fungsi ginjal dan. Bagaimana teknik pemeriksaan bno ivp? Siapa tahu ada yg lupa dan buat baca2 aja. Pemeriksaan radiografi dari traktus urinarius (renal, ureter, vesica urinaria, dan uretra) dengan penyuntikan kontras media positif secara intra vena. Последние твиты от bno newsroom (@bnodesk). For other news, follow @bnonews. Bno ivp adalah pemeriksaan radiografi dari traktus urinarius (renal, ureter, vesica urinaria, dan uretra) dengan penyuntikan kontras media positif secara intra vena. Teknik pemeriksaan bno ivp dilakukan dengan interval waktu tertentu yang disesuaikan dengan lamanya aliran bahan kontras untuk mengisi ginjal sampai. Apa yang dimaksud bno ivp? Bno news is an international news agency headquartered in tilburg, the netherlands. It provides news wire services to companies. Institutional venture partners, a venture capital and growth equity firm. Live updates from the team behind bno news. Bno news is a news organization that provides live coverage of breaking and developing stories, with. Lancair ivp ivp •98 square foot wing/. Intravenous pyelogram / ivpdeskripsi lengkap. Halo, berdasarkan hasil pemeriksaan bno ivp tidak terdapat gambaran radioopaque yang pada pemeriksaan bno ivp pada umumnya dilakukan berdasarkan permintaan dokter spesialis.

Sop Bno Ivp Pdf Free Download . Siapa Tahu Ada Yg Lupa Dan Buat Baca2 Aja.

Pemeriksaan Bno Ivp. For other news, follow @bnonews. Bno ivp adalah pemeriksaan radigrafi dari tractus urinarius dengan pemberian zat kontras yang dimasukkan melalui vena sehingga dapat menunjukkan fungsi ginjal dan. Siapa tahu ada yg lupa dan buat baca2 aja. Apa yang dimaksud bno ivp? Pemeriksaan radiografi dari traktus urinarius (renal, ureter, vesica urinaria, dan uretra) dengan penyuntikan kontras media positif secara intra vena. Последние твиты от bno newsroom (@bnodesk). Ivp atau intra venous pyelography merupakan pemeriksaan radiografi pada sistem urinaria (dari ginjal hingga blass) dengan menyuntikkan zat kontras melalui. Ivp = intra vena pyelography. Ada beberapa gejala yang ganggu banget aktifitasku 2 mingguan yg lalu. Teknik pemeriksaan bno ivp dilakukan dengan interval waktu tertentu yang disesuaikan dengan lamanya aliran bahan kontras untuk mengisi ginjal sampai. Mau share sedikit tentang bno ivp. Intravenous pyelogram / ivpdeskripsi lengkap. Bagaimana teknik pemeriksaan bno ivp? Aditya rachmat febrianto1102011007bno ivpintravenous urography (ivu), yang juga dikenal dengan nama excretory urography (eu) atau intravenous pyelography (ivp) merupakan. Live updates from the team behind bno news.

Persiapan Pasien Untuk Pemeriksaan Bno Ivp . Последние Твиты От Bno Newsroom (@Bnodesk).

Pemeriksaan Radiologi Bno Ivp Informasi Seputar Radiografer. Mau share sedikit tentang bno ivp. Bagaimana teknik pemeriksaan bno ivp? Intravenous pyelogram / ivpdeskripsi lengkap. Последние твиты от bno newsroom (@bnodesk). Teknik pemeriksaan bno ivp dilakukan dengan interval waktu tertentu yang disesuaikan dengan lamanya aliran bahan kontras untuk mengisi ginjal sampai. Siapa tahu ada yg lupa dan buat baca2 aja. Ivp = intra vena pyelography. Apa yang dimaksud bno ivp? Pemeriksaan radiografi dari traktus urinarius (renal, ureter, vesica urinaria, dan uretra) dengan penyuntikan kontras media positif secara intra vena. Ivp atau intra venous pyelography merupakan pemeriksaan radiografi pada sistem urinaria (dari ginjal hingga blass) dengan menyuntikkan zat kontras melalui.

Bno Ivp Erect , Intravenous pyelogram / ivpdeskripsi lengkap.

Bno Ivp Erect. Ada beberapa gejala yang ganggu banget aktifitasku 2 mingguan yg lalu. For other news, follow @bnonews. Teknik pemeriksaan bno ivp dilakukan dengan interval waktu tertentu yang disesuaikan dengan lamanya aliran bahan kontras untuk mengisi ginjal sampai. Live updates from the team behind bno news. Mau share sedikit tentang bno ivp. Siapa tahu ada yg lupa dan buat baca2 aja. Aditya rachmat febrianto1102011007bno ivpintravenous urography (ivu), yang juga dikenal dengan nama excretory urography (eu) atau intravenous pyelography (ivp) merupakan. Ivp atau intra venous pyelography merupakan pemeriksaan radiografi pada sistem urinaria (dari ginjal hingga blass) dengan menyuntikkan zat kontras melalui. Последние твиты от bno newsroom (@bnodesk). Pemeriksaan radiografi dari traktus urinarius (renal, ureter, vesica urinaria, dan uretra) dengan penyuntikan kontras media positif secara intra vena. Ivp = intra vena pyelography. Intravenous pyelogram / ivpdeskripsi lengkap. Bno ivp adalah pemeriksaan radigrafi dari tractus urinarius dengan pemberian zat kontras yang dimasukkan melalui vena sehingga dapat menunjukkan fungsi ginjal dan. Bagaimana teknik pemeriksaan bno ivp? Apa yang dimaksud bno ivp?

Teknik Radiografi Bno Ivp Catatan Radiografer Indonesia : Live Updates From The Team Behind Bno News.

Kopi Radiologi Pemeriksaan Bno Ivp. Teknik pemeriksaan bno ivp dilakukan dengan interval waktu tertentu yang disesuaikan dengan lamanya aliran bahan kontras untuk mengisi ginjal sampai. For other news, follow @bnonews. Siapa tahu ada yg lupa dan buat baca2 aja. Bno ivp adalah pemeriksaan radigrafi dari tractus urinarius dengan pemberian zat kontras yang dimasukkan melalui vena sehingga dapat menunjukkan fungsi ginjal dan. Pemeriksaan radiografi dari traktus urinarius (renal, ureter, vesica urinaria, dan uretra) dengan penyuntikan kontras media positif secara intra vena. Aditya rachmat febrianto1102011007bno ivpintravenous urography (ivu), yang juga dikenal dengan nama excretory urography (eu) atau intravenous pyelography (ivp) merupakan. Intravenous pyelogram / ivpdeskripsi lengkap. Ivp atau intra venous pyelography merupakan pemeriksaan radiografi pada sistem urinaria (dari ginjal hingga blass) dengan menyuntikkan zat kontras melalui. Последние твиты от bno newsroom (@bnodesk). Bagaimana teknik pemeriksaan bno ivp? Ada beberapa gejala yang ganggu banget aktifitasku 2 mingguan yg lalu. Live updates from the team behind bno news. Ivp = intra vena pyelography. Mau share sedikit tentang bno ivp. Apa yang dimaksud bno ivp?

Bno Ivp Vnd5gdzerjlx . The Acronym Bno Stands For Breakingnewson.

Bno Ivp Ureterolithiasis. Teknik pemeriksaan bno ivp dilakukan dengan interval waktu tertentu yang disesuaikan dengan lamanya aliran bahan kontras untuk mengisi ginjal sampai. Ada beberapa gejala yang ganggu banget aktifitasku 2 mingguan yg lalu. Последние твиты от bno newsroom (@bnodesk). Ivp = intra vena pyelography. Bagaimana teknik pemeriksaan bno ivp? For other news, follow @bnonews. Bno ivp adalah pemeriksaan radigrafi dari tractus urinarius dengan pemberian zat kontras yang dimasukkan melalui vena sehingga dapat menunjukkan fungsi ginjal dan. Aditya rachmat febrianto1102011007bno ivpintravenous urography (ivu), yang juga dikenal dengan nama excretory urography (eu) atau intravenous pyelography (ivp) merupakan. Pemeriksaan radiografi dari traktus urinarius (renal, ureter, vesica urinaria, dan uretra) dengan penyuntikan kontras media positif secara intra vena. Ivp atau intra venous pyelography merupakan pemeriksaan radiografi pada sistem urinaria (dari ginjal hingga blass) dengan menyuntikkan zat kontras melalui. Intravenous pyelogram / ivpdeskripsi lengkap. Live updates from the team behind bno news. Siapa tahu ada yg lupa dan buat baca2 aja. Apa yang dimaksud bno ivp? Mau share sedikit tentang bno ivp.

Ppt Vesikolithiasis Pdf Document : Mau Share Sedikit Tentang Bno Ivp.

Prosedur Persiapan Pasien Untuk Pemeriksaan Radiologi Kontras Bno Ivp. Последние твиты от bno newsroom (@bnodesk). Ivp = intra vena pyelography. For other news, follow @bnonews. Live updates from the team behind bno news. Bagaimana teknik pemeriksaan bno ivp? Ivp atau intra venous pyelography merupakan pemeriksaan radiografi pada sistem urinaria (dari ginjal hingga blass) dengan menyuntikkan zat kontras melalui. Pemeriksaan radiografi dari traktus urinarius (renal, ureter, vesica urinaria, dan uretra) dengan penyuntikan kontras media positif secara intra vena. Siapa tahu ada yg lupa dan buat baca2 aja. Aditya rachmat febrianto1102011007bno ivpintravenous urography (ivu), yang juga dikenal dengan nama excretory urography (eu) atau intravenous pyelography (ivp) merupakan. Ada beberapa gejala yang ganggu banget aktifitasku 2 mingguan yg lalu. Intravenous pyelogram / ivpdeskripsi lengkap. Teknik pemeriksaan bno ivp dilakukan dengan interval waktu tertentu yang disesuaikan dengan lamanya aliran bahan kontras untuk mengisi ginjal sampai. Apa yang dimaksud bno ivp? Bno ivp adalah pemeriksaan radigrafi dari tractus urinarius dengan pemberian zat kontras yang dimasukkan melalui vena sehingga dapat menunjukkan fungsi ginjal dan. Mau share sedikit tentang bno ivp.

Pemeriksaan Bno Ivp Catatan Radiografer Indonesia - Halo, Berdasarkan Hasil Pemeriksaan Bno Ivp Tidak Terdapat Gambaran Radioopaque Yang Pada Pemeriksaan Bno Ivp Pada Umumnya Dilakukan Berdasarkan Permintaan Dokter Spesialis.

Layanan Penunjang. Apa yang dimaksud bno ivp? Mau share sedikit tentang bno ivp. Pemeriksaan radiografi dari traktus urinarius (renal, ureter, vesica urinaria, dan uretra) dengan penyuntikan kontras media positif secara intra vena. Bno ivp adalah pemeriksaan radigrafi dari tractus urinarius dengan pemberian zat kontras yang dimasukkan melalui vena sehingga dapat menunjukkan fungsi ginjal dan. For other news, follow @bnonews. Siapa tahu ada yg lupa dan buat baca2 aja. Ivp = intra vena pyelography. Ada beberapa gejala yang ganggu banget aktifitasku 2 mingguan yg lalu. Intravenous pyelogram / ivpdeskripsi lengkap. Ivp atau intra venous pyelography merupakan pemeriksaan radiografi pada sistem urinaria (dari ginjal hingga blass) dengan menyuntikkan zat kontras melalui. Bagaimana teknik pemeriksaan bno ivp? Aditya rachmat febrianto1102011007bno ivpintravenous urography (ivu), yang juga dikenal dengan nama excretory urography (eu) atau intravenous pyelography (ivp) merupakan. Live updates from the team behind bno news. Последние твиты от bno newsroom (@bnodesk). Teknik pemeriksaan bno ivp dilakukan dengan interval waktu tertentu yang disesuaikan dengan lamanya aliran bahan kontras untuk mengisi ginjal sampai.

Foto Bno Ivp Youtube : Последние Твиты От Bno Newsroom (@Bnodesk).

Dasar Dasar Radiologi Foto Bno Ivp Catatan Dokter. Pemeriksaan radiografi dari traktus urinarius (renal, ureter, vesica urinaria, dan uretra) dengan penyuntikan kontras media positif secara intra vena. Siapa tahu ada yg lupa dan buat baca2 aja. Apa yang dimaksud bno ivp? Bno ivp adalah pemeriksaan radigrafi dari tractus urinarius dengan pemberian zat kontras yang dimasukkan melalui vena sehingga dapat menunjukkan fungsi ginjal dan. For other news, follow @bnonews. Ada beberapa gejala yang ganggu banget aktifitasku 2 mingguan yg lalu. Ivp = intra vena pyelography. Ivp atau intra venous pyelography merupakan pemeriksaan radiografi pada sistem urinaria (dari ginjal hingga blass) dengan menyuntikkan zat kontras melalui. Bagaimana teknik pemeriksaan bno ivp? Intravenous pyelogram / ivpdeskripsi lengkap. Mau share sedikit tentang bno ivp. Live updates from the team behind bno news. Последние твиты от bno newsroom (@bnodesk). Teknik pemeriksaan bno ivp dilakukan dengan interval waktu tertentu yang disesuaikan dengan lamanya aliran bahan kontras untuk mengisi ginjal sampai. Aditya rachmat febrianto1102011007bno ivpintravenous urography (ivu), yang juga dikenal dengan nama excretory urography (eu) atau intravenous pyelography (ivp) merupakan.

Rainbow Teknik Pemeriksaan Bno Ivp Ivu , Halo, Berdasarkan Hasil Pemeriksaan Bno Ivp Tidak Terdapat Gambaran Radioopaque Yang Pada Pemeriksaan Bno Ivp Pada Umumnya Dilakukan Berdasarkan Permintaan Dokter Spesialis.

Bno Ivp Diskusi. Ada beberapa gejala yang ganggu banget aktifitasku 2 mingguan yg lalu. Live updates from the team behind bno news. For other news, follow @bnonews. Aditya rachmat febrianto1102011007bno ivpintravenous urography (ivu), yang juga dikenal dengan nama excretory urography (eu) atau intravenous pyelography (ivp) merupakan. Pemeriksaan radiografi dari traktus urinarius (renal, ureter, vesica urinaria, dan uretra) dengan penyuntikan kontras media positif secara intra vena. Mau share sedikit tentang bno ivp. Intravenous pyelogram / ivpdeskripsi lengkap. Bno ivp adalah pemeriksaan radigrafi dari tractus urinarius dengan pemberian zat kontras yang dimasukkan melalui vena sehingga dapat menunjukkan fungsi ginjal dan. Siapa tahu ada yg lupa dan buat baca2 aja. Apa yang dimaksud bno ivp? Ivp = intra vena pyelography. Ivp atau intra venous pyelography merupakan pemeriksaan radiografi pada sistem urinaria (dari ginjal hingga blass) dengan menyuntikkan zat kontras melalui. Teknik pemeriksaan bno ivp dilakukan dengan interval waktu tertentu yang disesuaikan dengan lamanya aliran bahan kontras untuk mengisi ginjal sampai. Bagaimana teknik pemeriksaan bno ivp? Последние твиты от bno newsroom (@bnodesk).

Bno Ivp Erect , This Page Is About The Various Possible Meanings Of The Acronym, Abbreviation, Shorthand Or Slang Term:

Bno Ivp Erect. Bno ivp adalah pemeriksaan radigrafi dari tractus urinarius dengan pemberian zat kontras yang dimasukkan melalui vena sehingga dapat menunjukkan fungsi ginjal dan. Pemeriksaan radiografi dari traktus urinarius (renal, ureter, vesica urinaria, dan uretra) dengan penyuntikan kontras media positif secara intra vena. Teknik pemeriksaan bno ivp dilakukan dengan interval waktu tertentu yang disesuaikan dengan lamanya aliran bahan kontras untuk mengisi ginjal sampai. Bagaimana teknik pemeriksaan bno ivp? For other news, follow @bnonews. Live updates from the team behind bno news. Aditya rachmat febrianto1102011007bno ivpintravenous urography (ivu), yang juga dikenal dengan nama excretory urography (eu) atau intravenous pyelography (ivp) merupakan. Apa yang dimaksud bno ivp? Последние твиты от bno newsroom (@bnodesk). Ivp = intra vena pyelography. Ada beberapa gejala yang ganggu banget aktifitasku 2 mingguan yg lalu. Intravenous pyelogram / ivpdeskripsi lengkap. Ivp atau intra venous pyelography merupakan pemeriksaan radiografi pada sistem urinaria (dari ginjal hingga blass) dengan menyuntikkan zat kontras melalui. Siapa tahu ada yg lupa dan buat baca2 aja. Mau share sedikit tentang bno ivp.